飞图影像APP是飞图影像云平台的移动端管理工具,专为医生设计,支持移动办公、医疗协作与学术交流。医生可随时随地调阅高清DICOM影像数据,进行阅片、写报告、测量及远程诊断等操作,同时能发起疑难病例协助或分享病例研讨。APP技术先进,具备GPU计算、预加载和本地保存功能,确保秒传秒开、流畅使用,且通过加密传输和多重安全措施保障数据安全,界面简洁易上手。
应用介绍
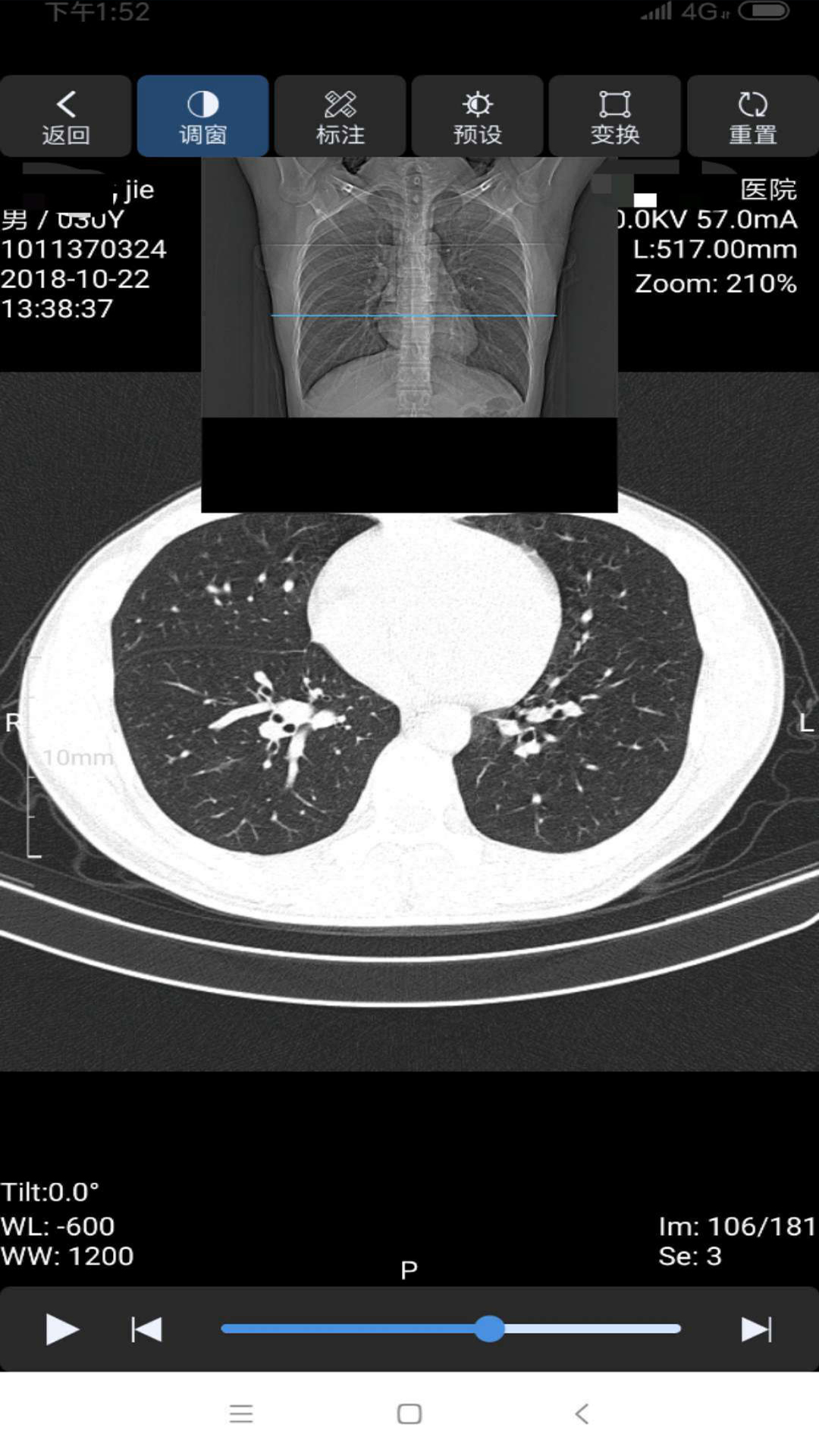
飞图影像APP是飞图影像云平台的移动端管理应用,医生通过此应用,可实现以下功能:
- 移动办公——随时随地调阅影像数据,无论在院内还是院外,都可阅片、写报告;
- 医疗协作——疑难病例发起协助请求,请求上级医生或专家予以协助,远程诊断;
- 交流研讨——与其他医生分享病例,进行专业研讨和学术交流,提升专业技能。
技术特性:
- 原始数据,高清影像——DICOM格式,信息细节全保存,精度更高;
- 多项功能,强大实用——可实现WL、测量、角度、CT值、旋转等操作;
- 使用简便,快速上手——符合医生使用习惯,无需过多繁琐学习过程;
- 秒传秒开,顺滑流畅——领先的GPU计算、影像预加载、影像本地保存等技术,拒绝卡顿、模糊、加载等待时间过长;
- 多重措施,确保安全——严格审核,二次验证,防止数据被恶意应用;加密传输,防止信息外泄。
更新日志
1.优化部分UI
2.修复已知bug
3.新增若干功能
小编寄语
飞图影像作为一款简单易上手的办公商务安卓应用,飞图影像一直被用户广泛使用。下载之家小编还为大家提供了其他几款安卓应用的下载途径,如乐视应用商店,手机解压缩全能王,外研U学,希望这些软件可以帮大家解决问题。

DeepSeek 2.0.0
企业微信安卓版 5.0.7
腾讯会议安卓版 3.42.2.405
QQ邮箱 7.1.5
大象 6.56.6
Microsoft Word 16.0.19822.20104